چهارباغ-امامجمعه چهارباغ گفت: اگر جامعه بخواهد سعادتمند باشد، باید از حضرت زهرا (س) الگو بگیرد؛ زن و مرد فاطمی یعنی انسانهایی مؤمن، باعزت و متواضع که در هر شرایطی اهل ایمان و عمل صالحاند.
کرج – مراسم تشییع و خاکسپاری پیکر همایون ارشادی در بهشت سکینه کرج برگزار شد و پیکر او در خاک آرام گرفت.
کرج – مدیرعامل شرکت گاز استان البرز از قطع موقت جریان گاز در برخی مناطق شهرهای کرج و گرمدره بهمنظور اجرای عملیات توسعه و اصلاح شبکه در روز چهارشنبه ۲۱ آبان ماه خبر داد.
صفحه اول روزنامههای استان البرز ۲۱ آبانماه ۱۴۰۴ منبع : www.mehrnews.com حتما بخوانید : کیفیت هوا در اکثر شهرهای البرز ناسالم شد
کرج-کیفیت هوای شهرستانهای فردیس، ساوجبلاغ، اشتهارد، نظرآباد، کرج و چهارباغ امروز (چهارشنبه، ۲۱ آبان ماه ۱۴۰۴) در وضعیت ناسالم قرار گرفت.
صفحه اول روزنامههای استان البرز ۲۰ آبانماه ۱۴۰۴ منبع : www.mehrnews.com حتما بخوانید : کیفیت هوا در اکثر شهرهای البرز ناسالم شد
قوه قضاییه اعلام کرد: در پی انتشار خبر دروغ و جعلی مبنی بر پیدا شدن چند پیکر مجهولالهویه در بستر سد کرج، دادستانی کرج در این مورد پرونده قضایی تشکیل داد.
صفحه اول روزنامههای استان البرز ۲۰ آبانماه ۱۴۰۴ منبع : www.mehrnews.com حتما بخوانید : روایت یک شایعه: کشف ۷۴ پیکر در سد کرج؟
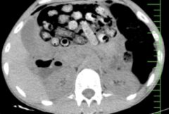
کرج – بیش از ۹۰ بسته مواد مخدر از معده و روده مردی میانسال در مرکز آموزشی درمانی شهید مدنی کرج خارج شد.
یک تصویر جعلی، چند جمله ساختگی و هزاران بازنشر در چند ساعت؛ همین اندازه کافی بود تا شایعه کشف ۷۴ پیکر در سد کرج بر سر زبانها بیفتد تا زمانی که واقعیت از راه رسید و همه چیز را تکذیب کرد.

